Il s’agit de la rupture distale du tendon terminal du fléchisseur commun profond (F.C.P).
Son étiologie est surtout liée aux sports et en particulier aux sports de contact comme le rugby. Elle touche le plus souvent le IVème doigt.
Elle est souvent opérée tardivement car trop souvent méconnue initialement. C’est le classique phénomène d’agrippement du maillot d’un joueur adverse lors d’une tentative de placage au rugby.
Lors d’une prise en flexion de forcé se produit une hyperextension brutale de l’extrémité d’un doigt et en particulier du IVe, alors que les autres sont en flexion.
Le corps musculaire est en phase de contraction maximale et le tendon arraché va se rétracté, parfois très loin en amont de son insertion physiologique.
Quels sont les signes cliniques ?
Dans les avulsions récentes :
Le patient présente une impotence douloureuse de l’I.P.D. La douleur a été brutale, traçante tout le long du fléchisseur, remontant à la paume ou même à l’avant-bras
La palpation du canal digital est douloureuse avec parfois une ecchymose retrouvée sur le doigt.
La flexion active est impossible.
La palpation d’une tuméfaction douloureuse, localisant l’extrémité tendineuse rétractée du F.P est un signe inconstant.
Dans les avulsions anciennes :
La flexion active de l’I.P.D est impossible.
La prise de force est très limitée.
Il existe un flessum de l’I.P.P si le tendon arraché est coincé dans la décussation.
La palpation peut retrouver une tuméfaction allant jusqu’au pli palmaire distal.
Une classification tenant compte du degré de rétraction tendineuse et de l’existence éventuelle d’un fragment osseux :
| Type I : c’est le type le plus fréquent dans les lésions récentes |
Le bout distal se situe dans la décussation du F.C.S devant P1 Le long vinculum est intact Un petit fragment osseux avulsé de P3 peut se bloquer dans la décussation |
| Type II : il concerne plutôt les traumatismes anciens |
Le bout distal est en amont de la décussation devant la MCP voire dans la paume La dévascularisation est complète avec un arrachement de tous les vaisseaux nourriciers. |
| Type III : c’est une forme rare |
La rupture s’accompagne d’un volumineux fragment de P3, véritable fracture articulaire avec sub-luxation dorsale de P3. La rétraction est quasiment nulle en raison du volume du fragment. |

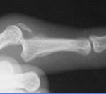
La radiographie standard de face et de profil du doigt et de la main est l’examen de base, à la recherche d’un éventuel fragment osseux. On appréciera sa taille et sa localisation.
Dans les lésions plus anciennes une échographie peut être très utile pour apprécier l’importance de la rétraction tendineuse.
Traitement:
Dans les lésions récentes < 21 jours, on tentera avant tout une réinsertion tendineuse du F.C.P sur P3
Dans les lésions anciennes > 21 jours, les indications thérapeutiques seront nuancées en fonction non seulement du niveau de la rétraction, de la souplesse articulaire, mais aussi de l’importance de la gêne fonctionnelle, de la perte de la force musculaire, et de la motivation du patient.
Si la rétraction est très importante et fixée, en particulier dans les rétractions à la paume, on a le choix en fonction de la gêne et de la motivation du patient entre la greffe tendineuse ou une intervention de fixation de l’I.P.D par tenodése ou arthrodèse. Afin d’offrir une articulation en position de fonction (10-15°), stable et solide.



